강동구치과 시술전후사진 2 페이지 | 강동구치과 코랄치과

시술전후사진 2 페이지

메뉴 바로가기
본문 바로가기
온라인 진료예약
  • 로그인
  • 회원가입
  • ID·PW 찾기
코랄QUICK

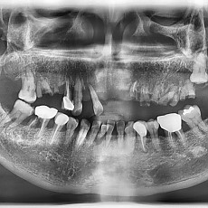
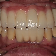
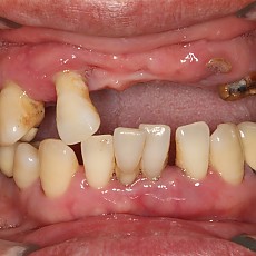
시술전후사진

Total 62건 2 페이지
게시물 검색

카카오톡 1:1 상담 서비스

- -

개인정보처리방침 동의

당신의평생 주치의, 코랄치과

우리는 치아뿐만 아니라 당신의 건강까지 생각합니다.

코랄치과 원장 서영란

CONSULTATION HOURS

진료시간
평일오전 10:00 ~ 오후 07:00
야간진료(화)오전 10:00 ~ 오후 08:00
토요일오전 10:00 ~ 오후 03:00
  • 개인정보 취급방침
  • 환자권리장전
  • 비급여수가

서울 강동구 양재대로1303(성내동) 평원빌딩
(1F스타벅스건물의 2F 코랄치과)
코랄치과

대표자 : 서영란 사업자등록번호 : 167-98-00348

TEL : 02-484-2879

Copyrightⓒ 2019. Coral Dental clinic.
All right reserved.

제작·관리 코어엠앤씨

빠른 상담 신청

아래에 전화번호를 남겨주시면 확인 후 상담전화를 드립니다.
개인정보처리방침
진료예약

인터넷 진료예약을 하시고나면 전문상담원이 전화를 걸어 확인 후 최종예약이 등록됩니다.

닫기
진료과목
날짜 선택
진료안내

예약이 접수되면 전문상담원이 직접 전화를 걸어 상담해 드립니다.

(단, 당일 예약 불가)

*평일에는 점심시간 (13:00 ~ 14:00) 이후로 전화를 드리며,
  일요일 및 공휴일은 휴진으로 전화상담에 어려움이 있습니다.

개인정보취급방침
예약정보 확인
진료과목
예약날짜
예약시간

진료시간 안내

평일 오전 10:00 ~ 오후 07:00

야간진료(화) 오전 10:00 ~ 오후 08:00

토요일 오전 10:00 ~ 오후 03:00

환자이름
전화번호
출생년일
성별
진료구분
주소